정형외과

Orthopedic Treatment Methods
움직임을 바꾸는 치료,
다시 걸을 수 있게 하는 힘

단순한 처치가 아닌, 움직임을 되찾는 치료를 지향합니다.

같은 질환이라도 치료의 방식은 환자마다 달라야 합니다.
큐병원은 진단부터 수술, 재활까지 환자의 삶에 맞춘 전 과정을 함께합니다.

큐병원 정형외과 수술적 치료 종류

인공관절 수술

손상된 관절을 인공 관절로 교체하는 수술입니다. 전치환술, 부분치환술, 재치환술 등 다양한 방법으로 시행되며 각 관절의 상태에 따라 선택됩니다.

  • 통증 완화
  • 생활 질 향상
  • 장기적인 효과

관절내시경 수술

작은 절개를 통해 특수 카메라와 기구를 삽입하여 관절 내부를 직접 확인하고 치료하는 수술 방법입니다. 관절의 염증, 연골 손상, 인대 파열 등 다양한 문제를 치료하는 데 사용됩니다.

  • 최소 침습
  • 빠른 회복
  • 작은 흉터

교정절골술

무릎이나 엉덩이 관절의 이상 정렬을 교정하기 위해 뼈를 절개하고 재정렬하는 수술입니다. 관절의 부담을 줄여 통증을 완화하고 기능을 개선하는 목적이 있습니다.

  • 통증 완화
  • 생활 질 향상
  • 낮은 합병증 위험

반월상 연골판 절제술/봉합술

무릎 연골판 손상 시 시행하는 수술입니다. 절제술은 손상 부위를 제거하고 봉합술은 찢어진 부위를 꿰매어 복원합니다. 통증 완화와 무릎 기능 회복을 돕는 치료입니다.

  • 최소 침습
  • 빠른 회복
  • 짧은 시술 시간

인대재건술

손상된 인대를 새로운 인대 조직으로 교체해 관절의 안정성을 회복하는 수술입니다. 주로 무릎이나 팔꿈치, 발목 등의 인대 손상에 시행되며 관절 기능 개선과 운동 복귀를 돕습니다.

  • 관절 안정성 회복
  • 통증 완화
  • 생활 질 향상

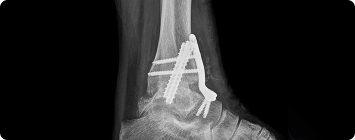
골절고정술

부러진 뼈를 정확한 위치에 맞춘 뒤, 금속판, 나사, 핀 봉 등을 이용해 단단히 고정하여 뼈가 바르게 치유되도록 돕는 수술입니다. 뼈의 정렬을 유지하고 회복을 촉진하는 데 중요한 치료입니다.

  • 관절 안정성 회복
  • 장기적인 효과
  • 재발 예방

수근관 유리술

손목의 수근관을 절개해 정중 신경을 압박하는 인대를 풀어주는 수술입니다. 손의 저림, 통증, 감각 저하 등의 증상을 완화하고 손 기능을 회복하는 데 도움을 줍니다.

  • 빠른 회복
  • 짧은 시술 시간
  • 작은 흉터

활차 유리술

손가락 힘줄을 둘러싼 활차(힘줄이 통과하는 섬유띠)를 절개하여 치료하는 수술입니다. 힘줄이 원활히 움직이도록 눌린 부위를 풀어 손가락의 통증과 움직임 장애를 개선합니다.

  • 최소 침습
  • 빠른 회복
  • 짧은 입원 기간

관절경 건유리술

관절 내 염증이나 유착된 힘줄(건)을 관절경을 이용해 풀어주는 시술입니다. 작은 절개로 카메라와 기구를 삽입해 정확하게 병변 부위를 치료합니다.

  • 최소 침습
  • 빠른 회복
  • 낮은 합병증 위험

발목유합술

발목 관절의 손상이나 퇴행성 질환으로 인한 통증과 변형을 치료하기 위해 관절을 고정하여 하나로 융합시키는 수술입니다.

  • 관절 안정성 회복
  • 생활 질 향상
  • 장기적인 효과

무지외반증 교절술

엄지발가락이 바깥쪽으로 휘는 변형을 바로잡기 위해 뼈를 절골하고 재정렬하는 수술입니다. 통증을 완화하고 보행 기능을 개선하는 데 도움을 줍니다.

  • 최소 침습
  • 빠른 회복
  • 통증 완화

연부조직재건술

피부, 근육, 지방 등의 손상을 복원하는 수술입니다. 피부 이식이나 근육 이식 등을 통해 손상된 부위를 회복시키며 기능적 회복과 미용적 결과를 고려한 수술입니다.

  • 빠른 회복
  • 생활 질 향상
  • 짧은 입원 기간

근막유리술

근막에 발생한 긴장이나 통증을 완화하기 위한 수술적 방법입니다. 근막을 절개하거나 분리하여 통증을 줄이고 기능 회복을 돕습니다.

  • 짧은 시술 시간
  • 낮은 합병증 위험
  • 재발 예방

골극제거술

뼈의 비정상적인 성장을 제거하는 수술로 주로 관절 부위에 발생한 골극(뼈의 돌출부)을 제거하여 통증을 완화하고 관절의 움직임을 개선하는 치료입니다.

  • 빠른 회복
  • 삶의 질 향상
  • 낮은 합병증 위험

활막제거술

관절 내 염증을 일으키는 활막을 제거하는 수술입니다. 이 수술은 활막염, 류마티스 관절염 등으로 인해 발생한 관절 통증과 부종을 줄이고 관절의 기능을 개선하는 데 도움을 줍니다.

  • 최소 침습
  • 빠른 회복
  • 짧은 시술 시간

수술적 치료 후 주의사항

  • 수술 직후에는 무리한 움직임을 피하고 의료진의 지시에 따라 안정이 필요합니다.
  • 수술 부위의 회복 상태, 염증 여부, 추가적인 치료 필요성 등을 판단할 수 있습니다.
  • 수술 부위는 청결하고 건조하게 유지하세요.
  • 수술 부위에서 열감, 분비물, 붓기 등이 심해질 경우 즉시 병원 방문이 필요합니다.

오시는길

부산 사하구 낙동대로 408

부산 1호선 당리역 3번 출구에서 도보 1분